Before & After
Antes y Después
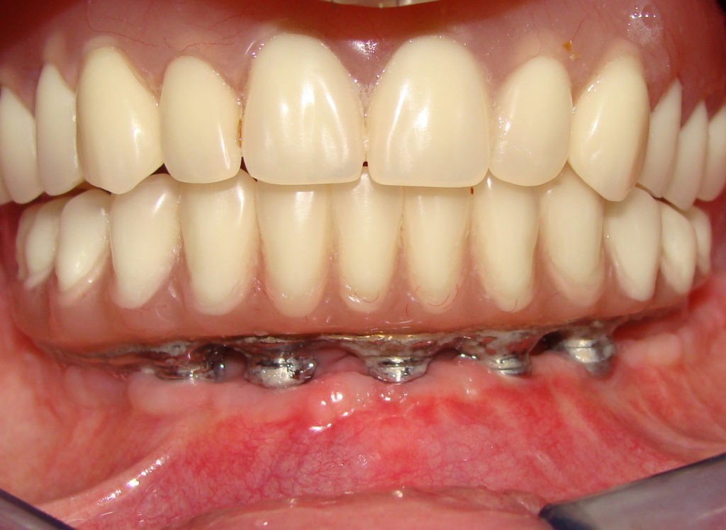
Lower Hybrid Clinical Case
Caso Clínico de Híbrida Inferior
Home
Procedures
Before & After
Inicio
Procedimientos
Antes y Después
Pre-Operative
Pre-Operatorio
Hybrid Prosthesis
Prótesis Híbrida
Final X-Ray
Radiografía Final
Interested in This Procedure?
Contact us for a Consultation and discover how we can transform your smile.
Get Consultation
Total Prosthesis
All on Six Case
All Procedures
Prótesis Total
Caso All on Six
Todos los Procedimientos